Jason Cellars, DDS | Smile Gallery

Create the smile you have always wanted. Dr. Jason Cellars has helped countless patients to improve the health, function, and beauty of their smiles. We invite you to look through our smile gallery here. Are you ready to take the first step towards a great smile? Call Jason Cellars, DDS at (714) 848-4247, to schedule a consultation with Dr. Cellars at our office in Huntington Beach, California.

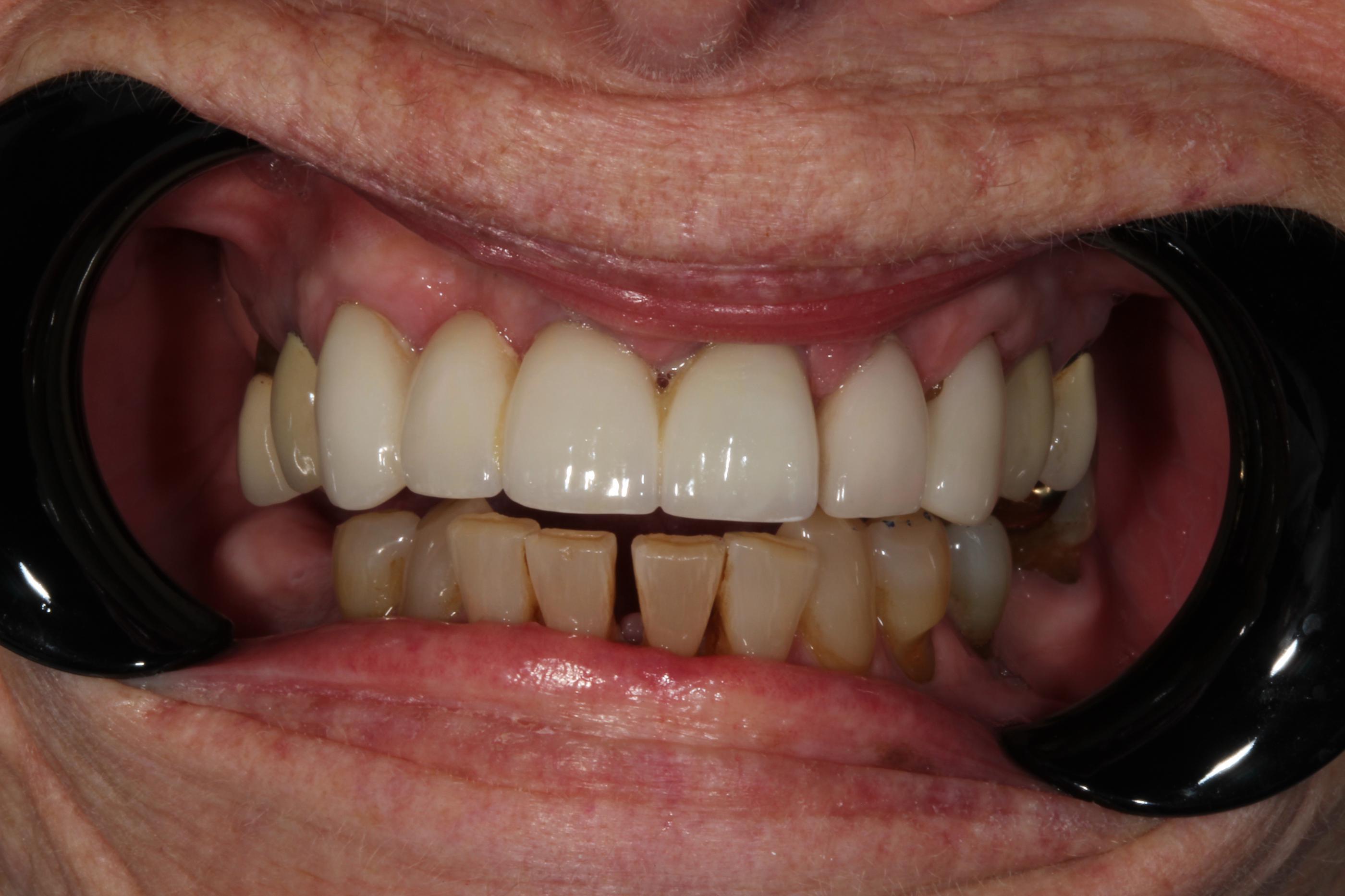
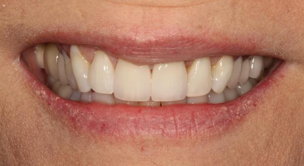
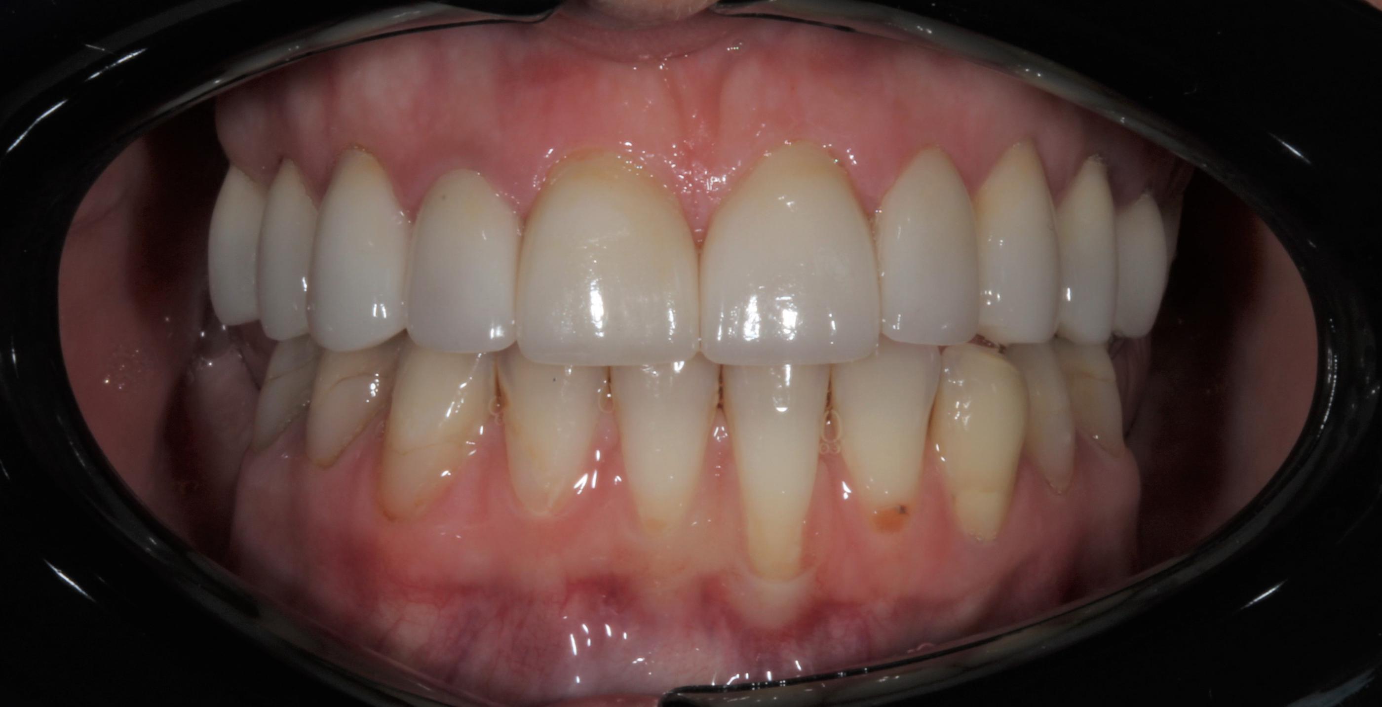
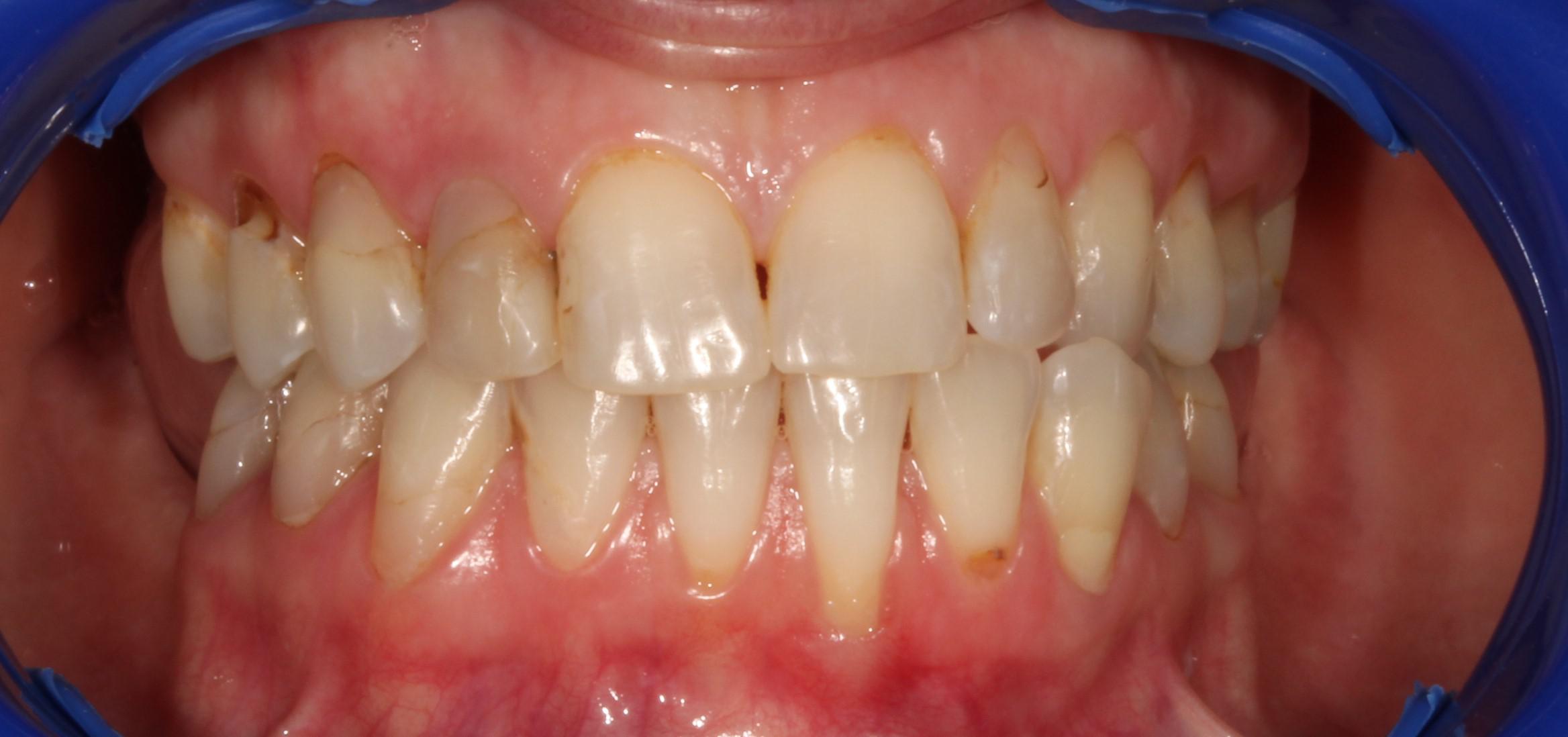
This patient didn't like the color of her old crowns and didn't like that they were uneven and looked like they weren't straight. We gave her 4 beautiful porcelain restorations to brighten her smile slightly and give her a much cleaner look.

Our patient hated her old veneers, they were too white, too aggressively shaped and didn't look like real teeth. We replaced her old veneers with natural looking veneers that enhance her facial features instead of drawing away from them. She is happily smiling again and feels as though she finally has her smile back.

smile rejuvenation before & after Jason Cellars, DDS

We did smile rejuvenation on this patient with 20 porcelain veneers to whiten the gray in their teeth that happens with age. It is a beautiful result that makes them look 20 years younger while looking perfectly natural.

I smiled for the first time in 20 years for our class photos

This patient was a teacher who told us "I smiled for the first time in 20 years for our class photos". They are a completely different person, always smiling, and beaming with confidence. A completely life changing result.

Our patient was embarrassed to smile which was affecting his life and relationships

Our patient was embarrassed to smile which was affecting his life and relationships. We opened his bite with beautiful porcelain veneers to completely change his life.

We gave him 5 beautiful veneers to close the space while keeping his original color and feel.

Our patient didn't want a white smile, he was very happy with the color of his teeth but just wanted the spaces closed and the shape of his teeth fixed. We gave him 5 beautiful veneers to close the space while keeping his original color and feel.

4 porcelain veneers to completely brighten her smile

Our patient here was concerned with the darkness in her front two teeth so we gave her 4 porcelain veneers to completely brighten her smile without changing all of her teeth.

Our patient wanted more natural veneers

Our patient wanted more natural veneers. We took off her old veneers and evened her smile out while also adding width to it to give her a more full and natural smile.

We used 20 beautiful porcelain veneers to enhance his smile

Our patient wanted whiter more even teeth to fill his smile before a wedding. We used 20 beautiful porcelain veneers to enhance his smile and give him a beautiful result that looks like they were his natural perfect teeth.

porcelain veneers to get her teeth to a more fitting size

Our amazing patient here wasn't happy with the color and shape of her teeth and her original teeth were too small for her face which bothered her. Here we gave her beautiful porcelain veneers to get her teeth to a more fitting size to fill her smile more completely. She is now smiling more confidently than ever!

Our amazing patient was tired of using a removable appliance to replace her front teeth and was embarrassed to eat or socialize around her friends. To replace her front teeth, we made her a beautiful all ceramic bridge that looks completely natural and functions just like normal teeth. She was extremely emotional and grateful with her final results. This was truly one of those cases that changed the patient’s life.

Dental Cosmetic Bridge: Jason Cellars, DDS

Our young patient came in having his front two crowns broken off. One of the hardest things in dentistry is matching the front teeth to the teeth beside them. Matching the color, texture, and translucency to the adjacent teeth needs to be mimicked almost perfectly so that our eyes don’t notice a difference at first glance. Our master ceramist was able to make a near perfect match that our patient was ultimately very pleased with. He was happy to be able to smile confidently again.

Dental Crowns in Huntington Beach

Our patient came in and was very self-conscious about the size of his teeth and wanted them whiter. By custom making him 10 beautiful veneers we were able to give him the ideal shape and size that fit his face. We were also able to make them much whiter while giving them enough texture and translucency to ensure that they still looked natural without looking like chicklets or fake teeth.

Huntington Beach Best Dentist: Veneers

A completely life changing makeover for our patient. We used a combination of crowns and veneers to fix this patient's decay, fix his misaligned bite, and give him a beautiful natural looking smile.

Jason Cellars, DDS used a combination of crowns and veneers to fix this patient's decay

Our patient came in wanting her teeth as white as possible (while still looking natural). We designed her 10 veneers with a more feminine shape that complimented her face and added a lot of texture and translucency to her veneers to make them still look like natural teeth even with them being very white. A very beautiful result that brightens the patients entire face.

Cosmetic Veneers: White Teeth - Huntington Beach

Our patient unfortunately broke two teeth while eating a bagel. One had to be extracted and one needed to be veneered. The extracted tooth was replaced with an implant with a matching veneer to get him his confidence back in his smile and to bring him back to full function.

broken tooth was replace with a dental implant and cosmetic veneer

Our patient had injured her front tooth in the military years ago and was never happy with how it was fixed esthetically. The tooth was too long and too big and prevented her from smiling with confidence. We were able to fix her smile by replacing the crown that didn't match and by placing a veneer on the tooth on the other side to give her smile more symmetry, and restore her confidence to smile. 

Our patient was unhappy with the crowding of her lower teeth and wanted them straightened. We opted for Invisalign® instead of braces and were able to straighten her lower teeth while widening her smile in less that a year giving these amazing results without any dental crowns or veneers.

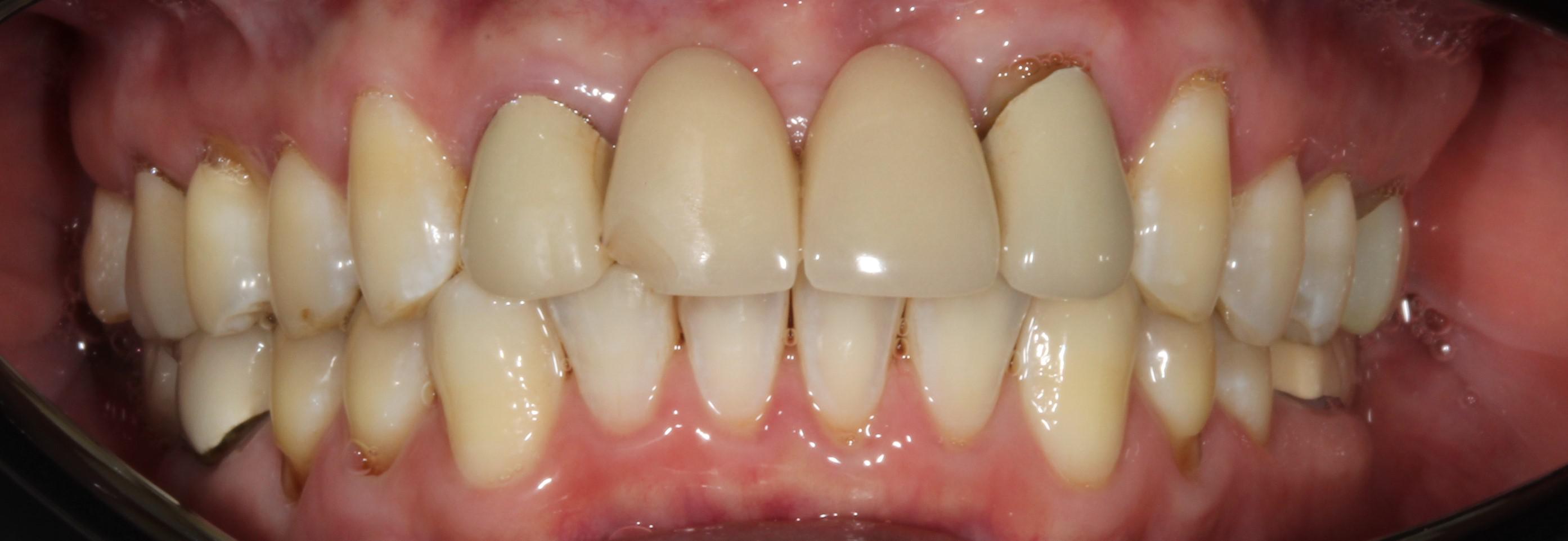
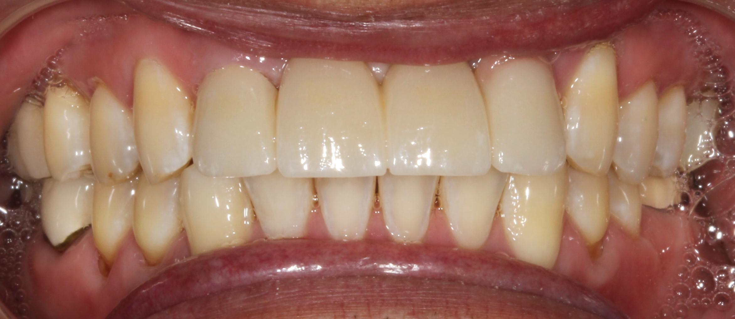
Our patient came in unhappy with the dark yellow color of her one front tooth and didn't like that the other front tooth was worn and flat on the edge. These cases are different from our full veneer cases because we want the color and texture of the veneers to perfectly match the rest of her teeth so that you can't tell that they aren't her natural teeth. We added staining and craze lines into the porcelain here to perfectly match the rest of her teeth. She is happily smiling again without being conscious of her discolored front tooth.

Our long-time patient came in saying that her bite felt off and that she wasn't happy with the color or shape of her teeth anymore. We brightened our patients' smiles with a complete new set of teeth that fit better, are more comfortable, and brighten our patients face to make her look more vibrant and youthful.

Our patient came in wanting to replace her old veneers because they were dark, opaque, and didn't look like natural teeth. We evened out her gum line and gave her 18 beautiful new veneers with translucent edges so that they look natural even though they are very white. We were also able to fix her bite with this many veneers to give her the "most comfortable bite [she's] ever had".

Our patient came in wanting her smile changed because she was embarrassed by the stain on her teeth. We were able to do "no-prep" veneers on this patient after properly positioning her teeth with Invisalign. It was important for her to have natural looking veneers, so we added beautiful texture and translucency to make her new smile look completely natural

Our patient chipped his front tooth and wasn't happy with the dark, unnatural appearance of his front 4 teeth. We redid his porcelain bridge and were able to match the color and calcifications of his adjacent teeth to make the blend more and look like his real teeth. We also changed the shape of his front teeth to give him a more masculine appearance because it complimented his muscular, square face better. Some pink porcelain was used on his one front tooth to hide his recession and make all of the teeth the proper size. The beauty is in the details and made for a very happy patient.

Our patient got in an accident and smashed her front two teeth and her upper lip. We were able to save both of her teeth and bring her back to her original beauty with a natural looking crown and a matching natural looking veneer.

A one year post-op for some beautiful porcelain work.This patient's crowns, bridges and veneers also made her teeth more healthy and increased the lifespan of her front teeth.

Our patient had many old fillings that were stained, worn down, and had crowding. It was extremely important to her to have natural looking teeth at the end so we gave her 10 porcelain veneers that were able to change the shape of her teeth to give her a more youthful and feminine look and added color to the veneers to give them a completely natural looking result. 

A rejuvenation of our patients' smiles. Adding color and life back into our patient's smile helps to make her look years younger.

Our patient wanted a same-day fix to the space in his teeth so we gave him same-day composite veneers to change the space of his four front teeth to be able to close his space without changing the proportions of his teeth. Same day composite veneers aren't as strong as porcelain veneers so will have to be replaced in a couple of years, but can be a great option in certain situations.

cosmetic veneers to fix gap in teeth - Huntington Beach dentist

Our beautiful patient was missing her front two teeth from an accident. She no longer wanted to wear her removable flipper and wanted something that was permanent and that she could eat, floss, and smile just like her natural teeth. We gave her two implants and two naturally matching crowns to give her smile and function back.

Schedule Today

Schedule your appointment with Jason Cellars, DDS today. We look forward to providing the care you deserve.

Book Your Appointment

Jason Cellars, DDS
18652 Florida St #300
Huntington Beach, CA 92648
Call (714) 848-4247
Mon–Fri 9:00AM – 5:00PM Sat–Sun Closed
Website Design & Marketing by Optima